
Leslie Capo
Office: 504-568-4806
Cell: 504-452-9166
lcapo@lsuhsc.edu

The program is one of only 25 sites in the AIDS Malignancy Consortium of the United States, a clinical trials group supported by the National Cancer Institute. The Consortium is dedicated to innovative cancer treatment and prevention interventions for people living with HIV/AIDS. The LSU Health New Orleans HIV Cancer Care Program also houses a biorepository, collecting samples available to researchers at LSU Health and collaborators at other institutions.
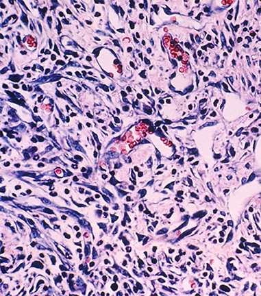
LSU Health faculty have developed new drugs that are showing early promise in selectively and effectively attacking cancer cells while leaving healthy cells alone. In an ongoing clinical trial for patients with KS, approximately 80% of patients have responded to a new medication designed to concentrate preferentially in KS tumors and, therefore, reduce side effects for the patient. Thus far, the drug appears to be both safer and more effective than standard medications for KS.
“If you can get these patients through the first year or two of chemotherapy, their immune systems improve so that they can live healthy, normal lives,” notes Dr. Chris Parsons, LSU Health New Orleans Associate Professor of Medicine and Microbiology and Director of its HIV Cancer Care Program.


An important goal of the program is cancer prevention. To that end, educating the community and people living with HIV/AIDS about risk factors is a high priority.